Score: 4.4/5 (14 votes) AEDs are designed to be used by non-medical personnel, such as firefighters, police officers, lifeguards, flight attendants, secu...
Score: 4.8/5 (6 votes) An atomizer, which is attached directly to the bottle, prevents spoilage and evaporation of expensive perfumes. Another benefit is...
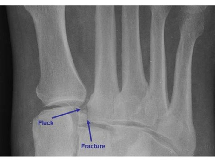
Score: 4.6/5 (7 votes) a break in continuity of bone; it may be caused by trauma, twisting due to muscle spasm or indirect loss of leverage, or by diseas...
Score: 4.3/5 (2 votes) noun One who favors, excites, or is engaged in insurrection; an insurgent. What's the meaning of insurrectionist? a person wh...
Score: 4.4/5 (24 votes) Socialism is a political, social, and economic philosophy encompassing a range of economic and social systems characterised by so...
Score: 4.5/5 (49 votes) In the first half of 2020, life expectancy at birth for the total U.S. population was 77.8 years, declining by 1.0 year from 78.8...
Score: 4.5/5 (46 votes) Certainly radioactive decay occurs because the sun contains many radioactive isotopes including thorium, uranium etc. Basically f...
Score: 4.2/5 (4 votes) Equine Phantoms is a secondary quest in the Blood and Wine Blood and Wine Blood and Wine, a 20-hour-plus tale that will introduce ...
Score: 4.2/5 (42 votes) Swedish origin The Swedish surname Lantz is thought to have originated as a military-related name derived from "lance," (modern S...
Score: 4.2/5 (71 votes) You won't lose files or data by unlinking OneDrive from your computer....Unlink OneDrive Select the white or blue OneDrive c...