Score: 4.7/5 (12 votes) To remove something (from some place) very suddenly or hurriedly. A noun or pronoun can be used between "whisk" and "away." After...
Score: 4.4/5 (16 votes) Peacocks do eat snakes. Peacocks usually stalk small reptiles such as tiny snakes. They grab and kill the snake by its neck to sh...
Score: 4.2/5 (4 votes) Following are five ways to begin practicing self-compassion and stop being so hard on yourself: Treat yourself as you would a smal...
Score: 4.7/5 (37 votes) How much does it cost to become a member? Members pay international dues of 45 USD every six months. (Some clubs may charge addit...
Score: 4.1/5 (62 votes) You cannot delete the primary system partition, the one which Windows is installed on. What happens if I delete all partitions? D...
Score: 4.6/5 (7 votes) Ghattamaneni Mahesh Babu is an Indian film actor, producer, media personality, and philanthropist who works mainly in Telugu cinem...
Score: 4.7/5 (45 votes) Aim to jog for at least 150 minutes each week to maintain physical fitness. Jogging, or running at a slow to moderate pace, is an...
Score: 4.6/5 (58 votes) The two main instructions that use the stack are push and pull instructions. During a push instruction such as PSHA, we store a d...
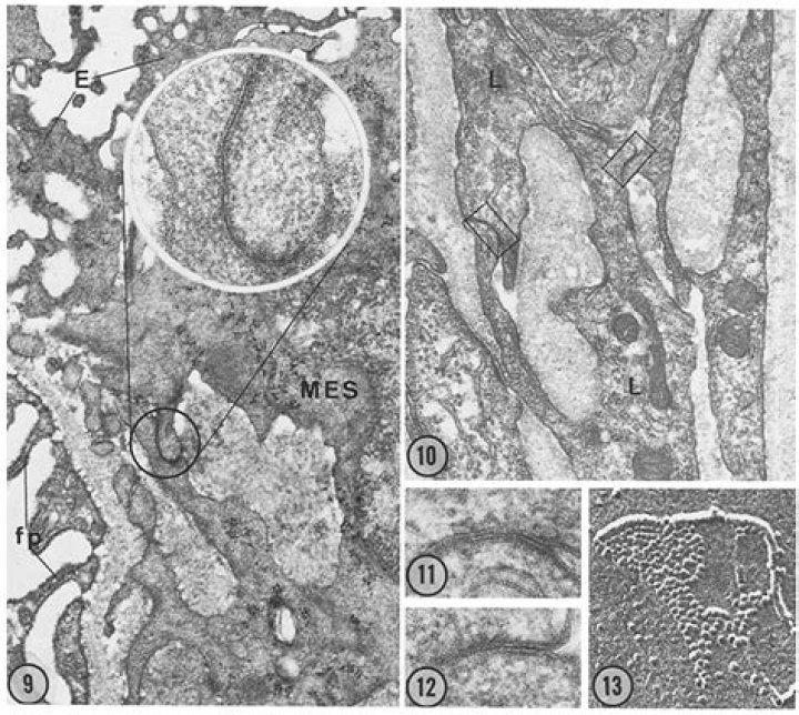
Score: 4.3/5 (36 votes) Extraglomerular mesangial cells, also known as lacis cells or Goormaghtigh cells, are located in the space between the afferent a...
Score: 5/5 (72 votes) Nope, corn husks can't be eaten but they make a terrific wrapper for cooking other foods in. In the case of tamales, the masa ...